

All on 4® Case 1
All on 4® Case 2
All on 4® Case 3
Teeth in a Day Case 5
Crowns Case 1
Crowns Case 2
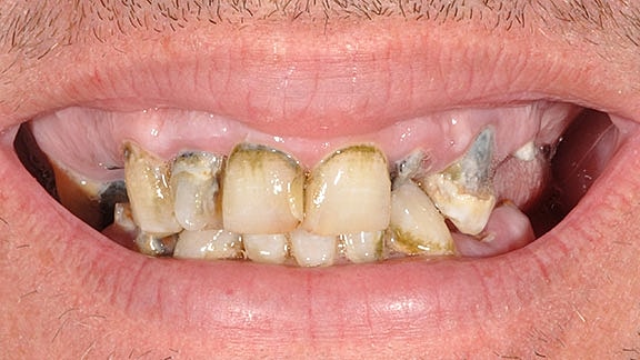
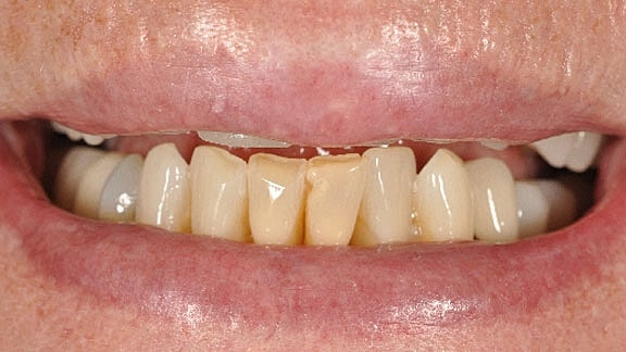
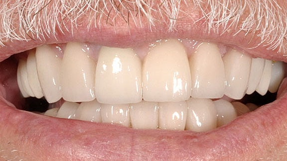
Full Mouth Reconstruction Case 1
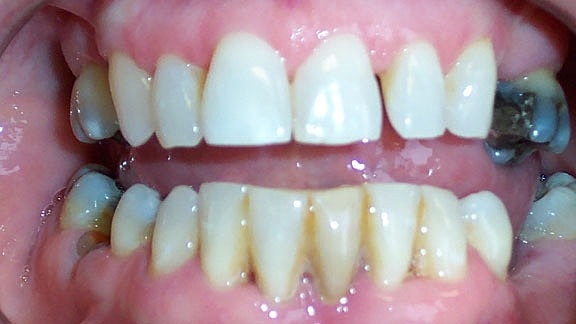
Full Mouth Reconstruction Case 3
Patient 9
All on 4® Case 4
All on 4® Case 5